Rất nhiều khách hàng có chung thắc mắc: "Liệu đang có cầu răng sứ hoặc răng sứ đơn lẻ thì có niềng răng được không?". Trường hợp của bạn Thu H (25 tuổi, đến từ Hàm Thuận Bắc) là minh chứng rõ ràng nhất cho việc: Mọi tình trạng răng đều có giải pháp tối ưu nếu được thăm khám và điều trị đúng kỹ thuật tại Nha khoa AMi.
1. Tình trạng răng ban đầu của khách hàng
Trước khi đến với AMi, bạn Thu H gặp phải những trở ngại khiến bản thân thiếu tự tin và khó khăn trong sinh hoạt:
-
Mất răng và có nhiều cầu răng sứ: Đây là rào cản lớn khiến bạn lầm tưởng mình không thể can thiệp chỉnh nha.
-
Sai lệch khớp cắn: Tình trạng cắn chéo răng cửa khiến gương mặt thiếu cân đối.
-
Chức năng ăn nhai suy giảm: Việc vệ sinh và ăn uống gặp nhiều bất tiện do các nhịp cầu sứ cũ.

Kết quả rõ rệt của Thu H sau gần 9 tháng niềng răng tại AMi. Các bạn có thể thấy rõ sự cải thiện của cắn chéo và khớp cắn.
2. Giải pháp chuyên sâu tại Nha khoa AMi
Sau khi thăm khám lâm sàng và phân tích hình ảnh từ thiết bị hiện đại, các bác sĩ chỉnh nha tại AMi đã xây dựng một phác đồ cá nhân hóa cho Thu H:
-
Xử lý cầu răng sứ: Bác sĩ tính toán kỹ lưỡng lực kéo để di chuyển răng thật mà không làm ảnh hưởng đến độ bền của các răng sứ hiện có.
-
Kỹ thuật chỉnh nha hiện đại: Giúp kiểm soát chính xác vị trí các răng, khắc phục hoàn toàn tình trạng cắn chéo.

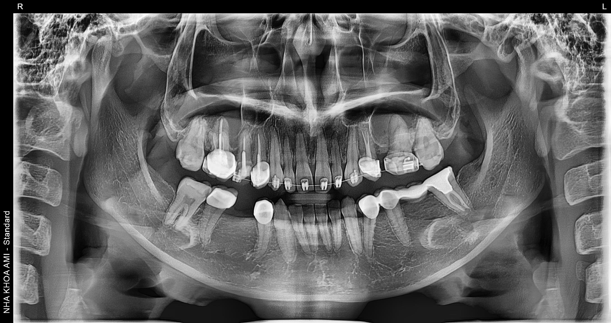
Hình ảnh X-quang cận cảnh giúp bác sĩ tại AMi kiểm soát cấu trúc xương và chân răng, đảm bảo quá trình niềng răng diễn ra an toàn ngay cả trên nền răng đã làm sứ.
3. Kết quả bất ngờ sau gần 9 tháng.
Chỉ sau một thời gian ngắn, kết quả đạt được đã vượt xa mong đợi của khách hàng:
-
Khắc phục cắn chéo: Các răng cửa đã về đúng vị trí, tạo nên đường cười hài hòa.
-
Cải thiện khớp cắn: Khớp cắn lồng múi tốt hơn, giúp việc ăn nhai trở nên cực kỳ dễ dàng.
-
Nâng tầm diện mạo: Gương mặt trở nên thanh tú và tự tin hơn rất nhiều.
Khách hàng Thu H chia sẻ: “Mình từng nghĩ có răng sứ là hết cơ hội niềng rồi. Nhưng nhờ bác sĩ tại AMi tư vấn tận tâm, mình đã quyết định thử. Giờ đây mình tự tin hơn rất nhiều, ăn uống cũng thoải mái hơn. Thật sự rất hài lòng!”
4. Lời khuyên từ chuyên gia Nha khoa AMi
Nếu bạn đang sở hữu răng sứ, cầu răng hoặc gặp các vấn đề phức tạp về răng miệng, đừng vội nản lòng. Mỗi trường hợp đều có "chìa khóa" riêng để giải quyết. Quan trọng nhất là bạn cần một cơ sở nha khoa uy tín với đội ngũ bác sĩ giàu kinh nghiệm và trang thiết bị hiện đại.
Liên hệ ngay với AMi để được thăm khám và tư vấn 1:1 cùng bác sĩ chỉnh nha:
-
Địa chỉ: 153 Võ Văn Kiệt, Phường Phú Thủy, Tỉnh Lâm Đồng.
-
Hotline: 0911.98.58.78
TƯ VẤN NGAY: 0911 98 58 78