0911 98 58 78 https://zalo.me/0911985878 https://www.facebook.com/profile.php?id=100083444254342 https://maps.app.goo.gl/R4Q7qEHHpYoGi7pQ8

Câu chuyện khách hàng Chị Lạc

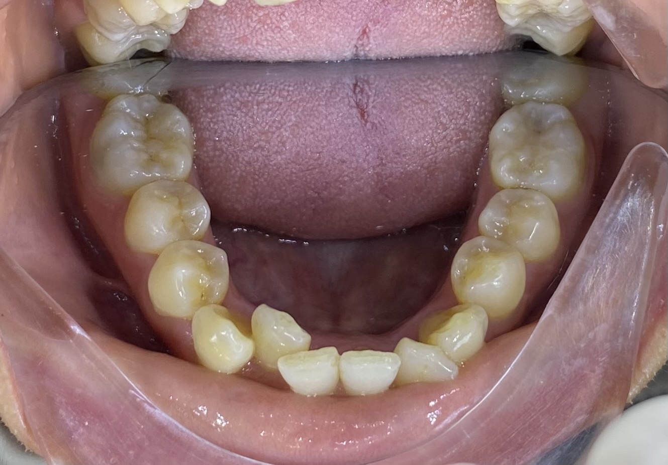
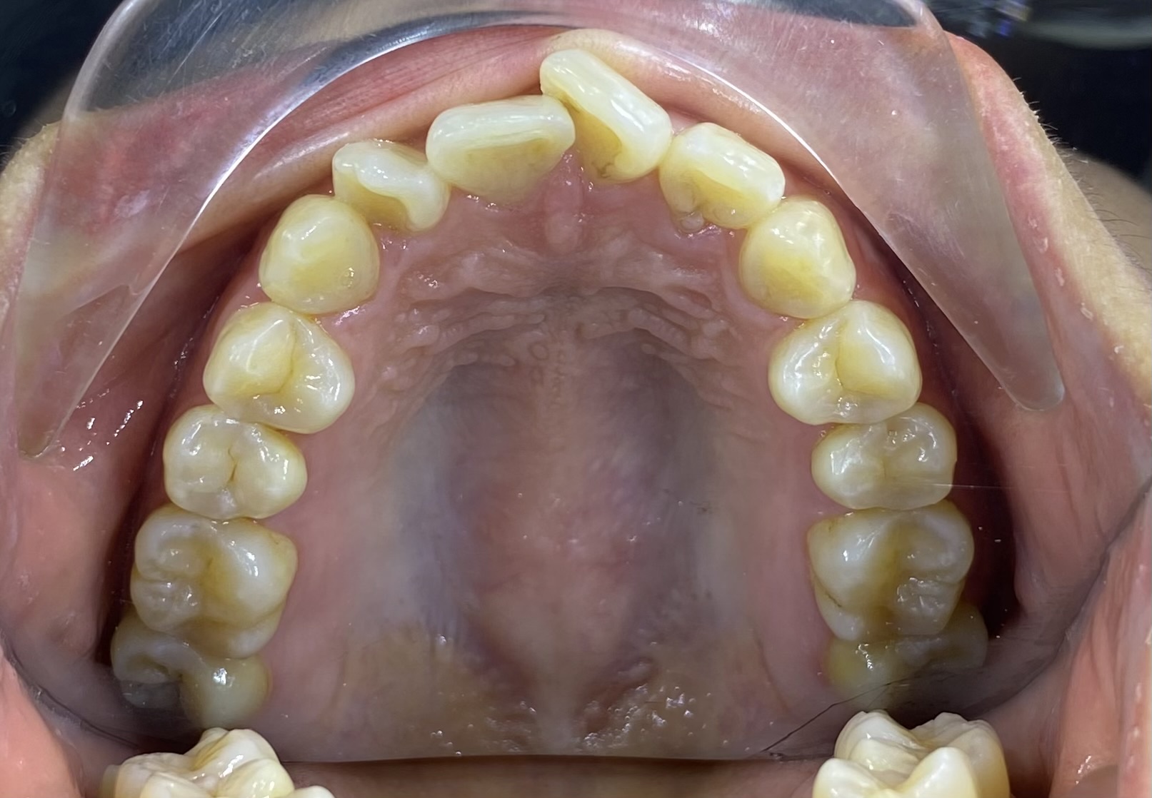
TÓM TẮT KẾ HOẠCH ĐIỀU TRỊ

  • Tình trạng răng ban đầu: Răng khấp khểnh, không đều,tình trạng hô nhẹ.
  • Phương án thực hiện: Niềng hai hàm, có cắm minivis
  • Mắc cài sử dụng: Mắc cài tự buộc
Khách hàng
Khách hàng
Khách hàng

Chị Lạc

Niềng Răng -Mũi Né

Ngày đăng: 31/12/2024

Trước đây chị Lạc rất tự ti với hàm răng nhiều khuyết điểm, khiến chị ngại giao tiếp với mọi người và từ đó công việc cũng gặp khó khăn hơn.

Chị cũng đã có suy nghĩ nhiều lần về niềng răng, nhưng vì chưa chọn được nha khoa ưng ý, nên chưa thực hiện.

“Làm răng một lần làm, một lần khó. Với mình tìm không đúng nơi uy tín, làm không đúng ý thì mệt hơn.”

Chị được giới thiệu đến Nha khoa AMi và hiện tại,sau 14 tháng niềng răng tại Nha khoa AMi, chị cảm thấy rất hài lòng,răng chạy đúng như chị mong đợi.

“Dịch vụ tại Nha khoa AMi 100 điểm, Bác sĩ làm nhẹ nhàng, không thấy đau, nhân viên chăm sóc trước và sau thủ thuật rất tốt, chị thấy rất hài lòng và cảm ơn đội ngũ Nha khoa AMi rất nhiều”

Nếu ai có ý định niềng răng thì hãy chọn Nha khoa AMi, đảm bảo AMi sẽ không làm các bạn thất vọng

BAN BIÊN TẬP AMI