Trang chủ

Câu chuyện khách hàng

Nguyễn Ngọc Yến
0911 98 58 78 https://zalo.me/0911985878 https://www.facebook.com/profile.php?id=100083444254342 https://maps.app.goo.gl/R4Q7qEHHpYoGi7pQ8

Câu chuyện khách hàng Nguyễn Ngọc Yến

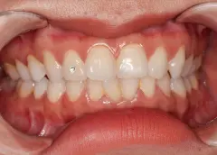
TÓM TẮT KẾ HOẠCH ĐIỀU TRỊ

  • Tình trạng răng trước khi bọc sứ:Răng ố vàng, hơi khấp khểnh và có tình trạng hô nhẹ.
  • Phương án thực hiện:Bọc sứ toàn hàm 20 răng.
  • Dòng răng sứ sử dụng:Răng toàn sứ Nacera 9Max Đức.
Khách hàng
Khách hàng
Khách hàng

Nguyễn Ngọc Yến

Mũi Né, Phan Thiết

Ngày đăng: 11/06/2022

Trước đây chị Thu Thủy rất tự ti với hàm răng nhiều khuyết điểm, khiến chị ngại giao tiếp với mọi người và từ đó công việc cũng gặp khó khăn hơn.

Chị cũng đã có suy nghĩ bọc răng sứ thẩm mỹ nhiều lần, nhưng vì chưa chọn được nha khoa ưng ý, nên chưa thực hiện.

“Làm răng một lần làm, một lần khó. Với mình tìm không đúng nơi về dùng không được còn mệt hơn.”

Cho đến sau khi trồng răng Implant ở nha khoa Ami và nhận được kết quả như mong đợi, chị quyết định tiếp tục bọc răng sứ tại Ami.

“Tiền nào của nấy, cho nên chị nghĩ nên chọn cái túi tiền phù hợp. Với lại nên chọn chất lượng nơi nào uy tín một chút.”

Sau 6 tháng làm răng sứ, chị Thu Thủy chia sẻ hoàn toàn không gặp tình trạng ê buốt hay hôi miệng.

BAN BIÊN TẬP AMI