Trang chủ

Câu chuyện khách hàng

Chị Anh Th - Phan Thiết
0911 98 58 78 https://zalo.me/0911985878 https://www.facebook.com/profile.php?id=100083444254342 https://maps.app.goo.gl/R4Q7qEHHpYoGi7pQ8

Câu chuyện khách hàng Chị Anh Th - Phan Thiết

TÓM TẮT KẾ HOẠCH ĐIỀU TRỊ

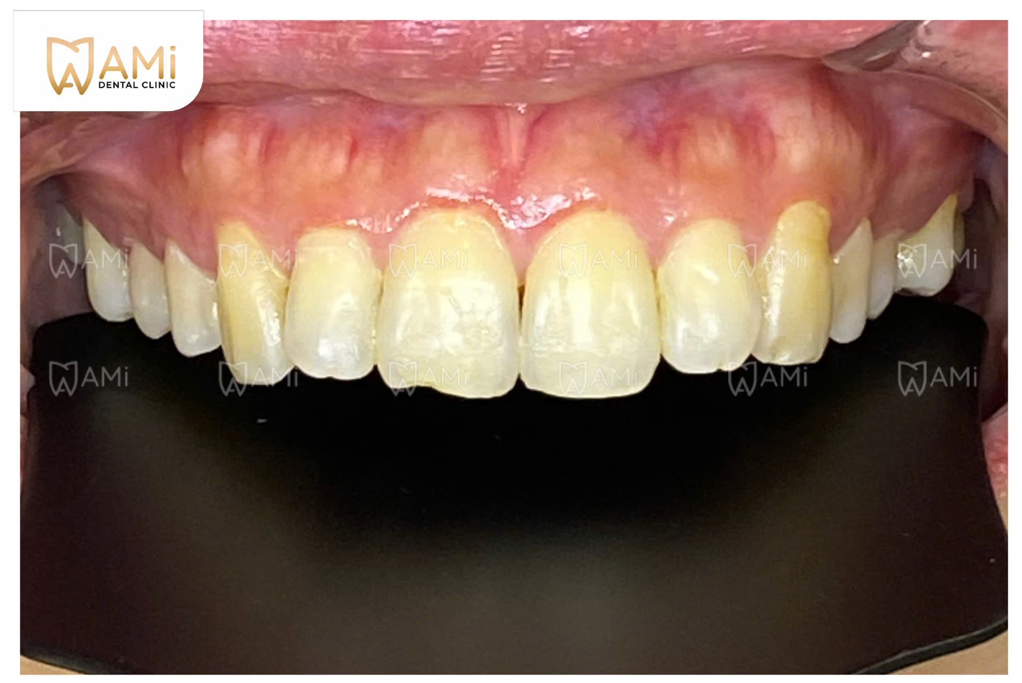
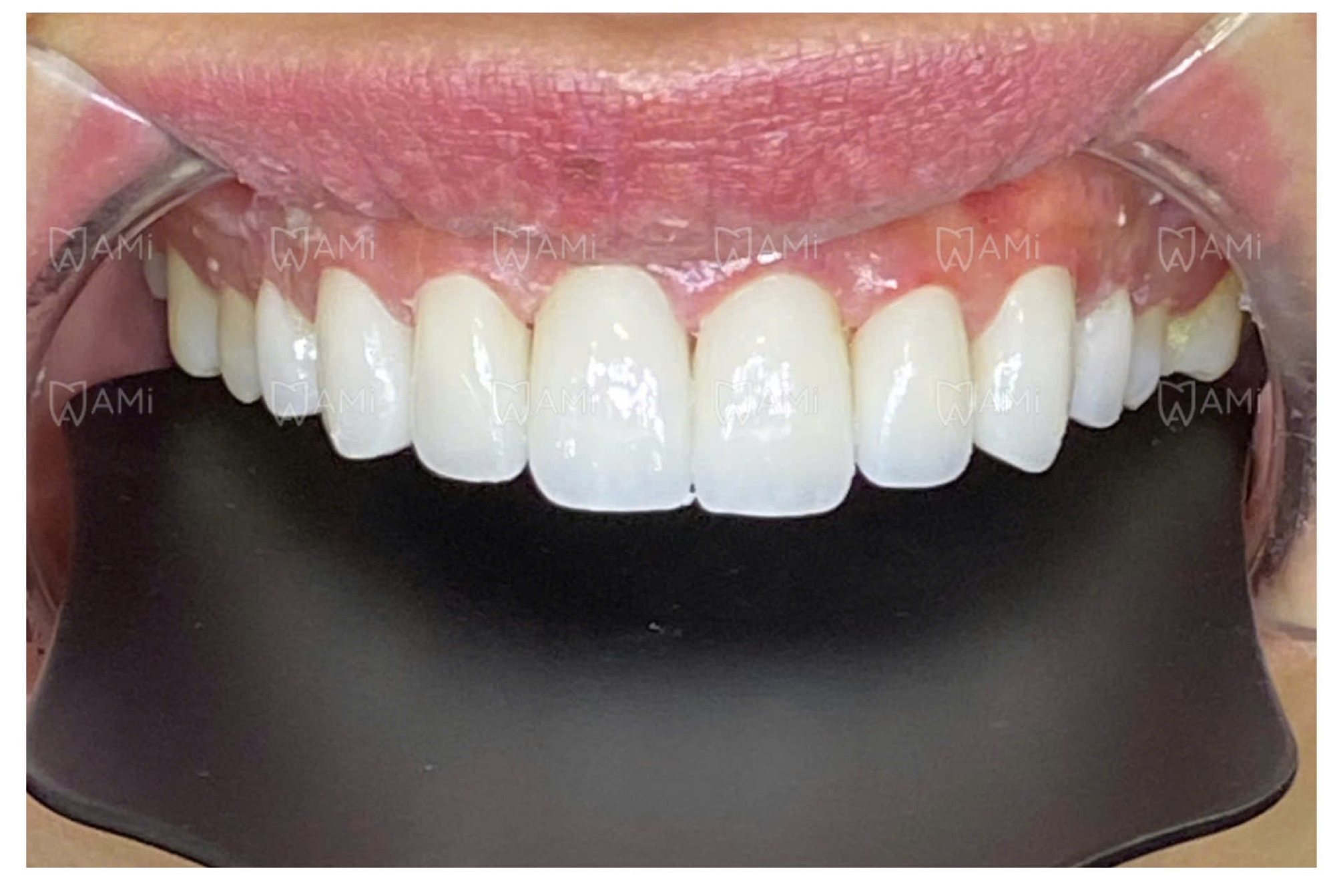
  • Tình trạng răng trước khi bọc sứ:Răng không đều, hơi xịn màu
  • Phương án thực hiện: Bọc răng sứ 8 cái hàm trên.
  • Dòng răng sứ sử dụng:Răng toàn sứ Katana
Khách hàng
Khách hàng
Khách hàng

Chị Anh Th - Phan Thiết

RĂNG TOÀN SỨ KATANA

Ngày đăng: 17/04/2026

“Nụ cười mới, phiên bản hạnh phúc hơn của chính mình.”

Mọi người thường nói “Cái răng cái tóc là góc con người”, nhưng với Anh Thuy, hàm răng từng là rào cản khiến bạn ngại ngùng mỗi khi cười lớn hay giao tiếp với mọi người. Tình trạng răng hàm trên bị xỉn màu, không đều khiến khuôn mặt mất đi sự hài hòa vốn có.

Sau nhiều lần tìm hiểu, Anh Thuy đã tin tưởng lựa chọn Nha khoa AMi để thực hiện thay đổi diện mạo cho nụ cười của mình.

“Mình thực sự cảm thấy như được là một phiên bản mới tự tin hơn. Cảm ơn đội ngũ bác sĩ tại AMi không chỉ vì tay nghề chuyên môn cao mà còn vì sự tận tâm, gần gũi như người nhà, giúp mình gạt bỏ mọi nỗi sợ nha khoa.” – Anh Th chia sẻ.

Chị Th đã hoàn thành bọc 8 răng sứ Katana tại AMi chỉ với 4 lần hẹn.

Giờ đây, nụ cười rạng rỡ chính là “phụ kiện” đẹp nhất mà Anh Th mang theo mỗi ngày. Với AMi, mỗi nụ cười mới được kiến tạo không chỉ là kết quả của kỹ thuật mà còn là sự thấu hiểu và trân trọng giá trị riêng biệt của mỗi khách hàng.

Điều khiến Anh Th ấn tượng nhất ở AMi chính là sự tỉ mỉ trong từng công đoạn. Từ việc lấy dấu hàm bằng công nghệ hiện đại cho đến lúc lắp răng, mọi thứ đều diễn ra vô cùng nhẹ nhàng, không hề gây cảm giác ê buốt hay khó chịu như bạn từng lo lắng.

BAN BIÊN TẬP AMI