Trang chủ

Câu chuyện khách hàng

Bạn Huyền lựa chọn niềng răng để cải thiện răng thưa
0911 98 58 78 https://zalo.me/0911985878 https://www.facebook.com/profile.php?id=100083444254342 https://maps.app.goo.gl/R4Q7qEHHpYoGi7pQ8

Câu chuyện khách hàng Bạn Huyền lựa chọn niềng răng để cải thiện răng thưa

TÓM TẮT KẾ HOẠCH ĐIỀU TRỊ

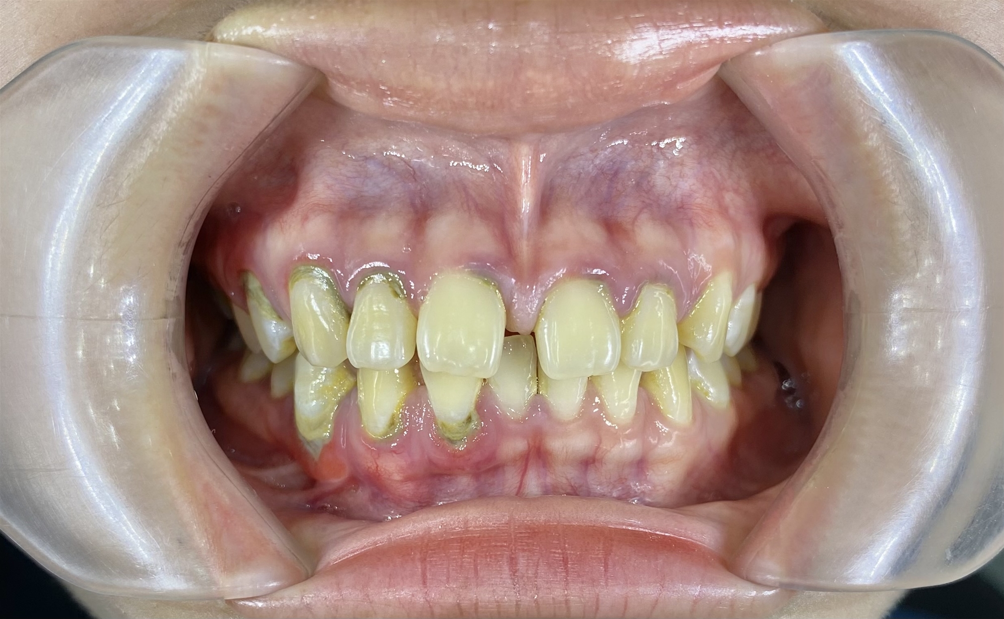
  • Tình trạng răng trước niềng :Răng thưa hai hàm
  • Phương án thực hiện: Niềng răng mắc cài kim loại.
  • Thời gian: 2 năm
Khách hàng
Khách hàng
Khách hàng

Bạn Huyền lựa chọn niềng răng để cải thiện răng thưa

Phan Thiết

Ngày đăng: 01/03/2026

Bạn Huyền, 21 tuổi ở Phan Thiết đã tìm hiểu kĩ trên facebook và quyết định lựa chọn AMi để cải thiện răng thưa và cảm thấy đó là quyết định đúng đắn

"Thật bất ngờ khi dịch vụ tại Nha khoa Ami còn tuyệt vời hơn cả những gì mĩnh nghĩ. Đội ngũ nhân viên nhiệt tình, Bác sĩ chuyên môn cao, chu đáo, tỉ mỉ, nhân viên rất sẵn sàng hỗ trợ."

Bạn Huyền khuyên mọi người đừng chần chừ, hãy nên đi niềng răng sớm.

Giờ đây, Huyền đã sở hữu hàm răng đều đẹp, hài hòa và tự tin khi nói chuyện rất nhiều khi chỉ trải qua 10 tháng niềng tại AMi. Huyền khuyên mọi người nên đi niềng sớm, giúp nụ cười đẹp từ đó tự tin lên nhiều và đặc biệt lựa chọn một Nha khoa uy tín như Nha khoa AMi đây nè.

"Lúc đầu cứ tưởng khi niềng rất khó khăn, nhưng khi niềng mới thấy cũng rất dễ chịu, không ê buốt nhiều và đặc biệt bên AMi còn hỗ trợ trả góp không có lãi suất, nên mọi người cứ yên tâm về vấn đề tài chính!"

BAN BIÊN TẬP AMI