Trang chủ

Câu chuyện khách hàng

Anh Sean từ Australia
0911 98 58 78 https://zalo.me/0911985878 https://www.facebook.com/profile.php?id=100083444254342 https://maps.app.goo.gl/R4Q7qEHHpYoGi7pQ8

Câu chuyện khách hàng Anh Sean từ Australia

TÓM TẮT KẾ HOẠCH ĐIỀU TRỊ

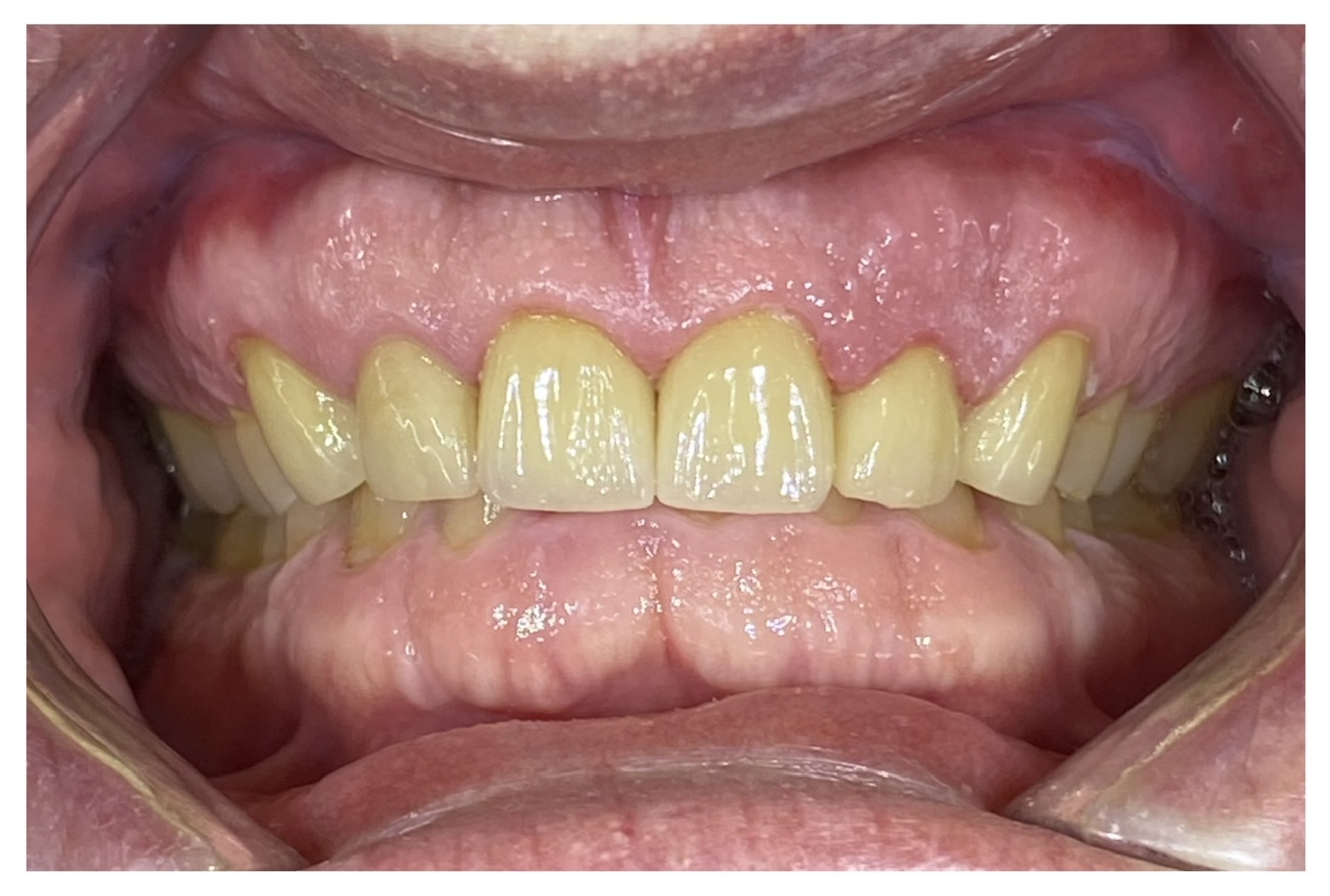
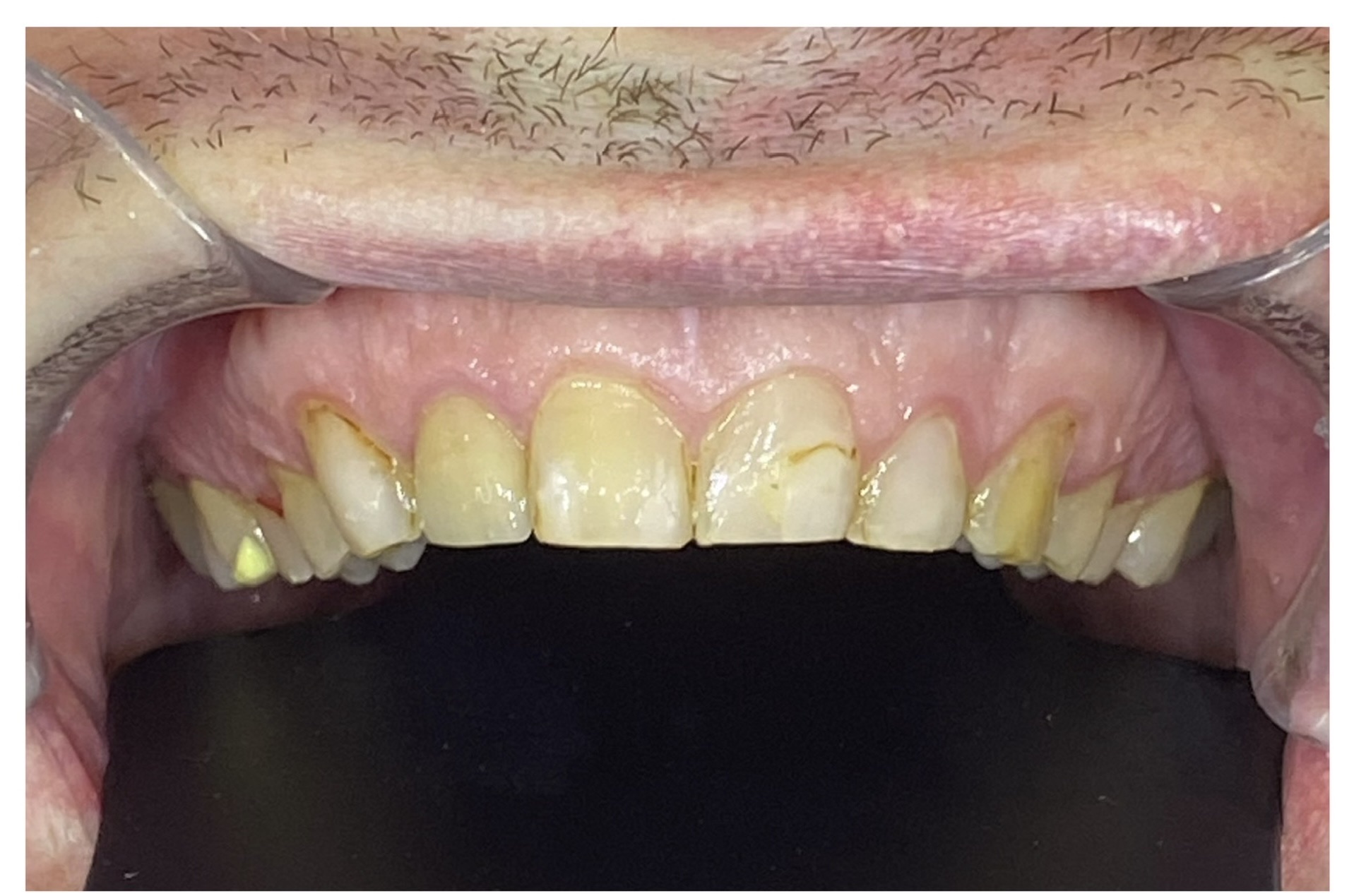
  • Tình trạng răng trước khi bọc sứ:Răng ố vàng, mẻ do trước đây làm không tốt.
  • Phương án thực hiện: Bọc sứ 4 răng cửa.
  • Dòng răng sứ sử dụng:Răng sứ Lava cao cấp.
Khách hàng
Khách hàng
Khách hàng

Anh Sean từ Australia

Australia

Ngày đăng: 31/12/2024

Lựa chọn một địa chỉ nha khoa để gửi gắm nụ cười khi đang sinh sống tại nước ngoài chưa bao giờ là điều dễ dàng. Câu chuyện của anh Sean (đến từ Australia) là một minh chứng cho sự kỹ lưỡng, cẩn trọng và cái kết viên mãn tại Nha khoa Ami.

"Thật bất ngờ khi dịch vụ tại Nha khoa Ami còn tuyệt vời hơn cả những nơi tôi từng biết tại Australia. Từ sự tận tâm của bác sĩ đến trang thiết bị hiện đại, mọi thứ đều chuẩn quốc tế nhưng mức giá lại vô cùng hợp lý."

Anh Sean đã hoàn thành bọc 4 răng sứ Lava tại AMI chỉ với 3 lần hẹn.

Giờ đây, anh Sean đã sở hữu hàm răng đều đẹp, hài hòa về màu sắc. Sự thay đổi không chỉ nằm ở diện mạo mà còn là sự tự tin hiện rõ trong từng cử chỉ, nụ cười của anh.

"Đừng ngần ngại về Việt Nam làm răng! Tôi đã dành 3 tháng tìm hiểu và hoàn toàn bị thuyết phục bởi Nha khoa Ami. Chất lượng ở đây thực sự vượt xa mong đợi, chuyên nghiệp như tại Úc nhưng giá thành lại cực kỳ hợp lý. Nếu muốn có nụ cười tự tin, Ami chính là lựa chọn số 1 của tôi!"

BAN BIÊN TẬP AMI